10 年
手机商铺
公司新闻/正文
267 人阅读发布时间:2025-08-25 11:59
重组胶原蛋白介绍
胶原蛋白是一种重要的细胞外蛋白质,由三条多肽链相互缠绕形成稳定的三股螺旋结构,广泛分布于皮肤、骨骼及肌腱等结缔组织中,为组织提供机械支撑和弹性保障。重组胶原蛋白是通过基因工程技术将人类或其他动物的胶原蛋白基因插入微生物(如大肠杆菌、酵母等)或动物细胞中,利用这些宿主进行发酵和提纯而获得。与动物源胶原蛋白相比,重组胶原蛋白在生物活性、生物相容性、低免疫原性和无细胞毒性等方面表现出优越性,这些特性使其在高端医疗、化妆品及生物材料等领域获得广泛应用。
胶原蛋白类型
胶原蛋白可以根据其结构和功能分为不同类型,主要有Ⅰ型、Ⅱ型、Ⅲ型和Ⅴ型胶原蛋白等。其中,Ⅰ型胶原蛋白是最常见的类型,广泛存在于皮肤、骨骼、肌腱和韧带中,主要负责提供强度和支撑。Ⅱ型胶原蛋白主要存在于软骨中,具有良好的缓冲和支撑作用,常用于关节健康产品。Ⅲ型胶原蛋白则主要存在于皮肤、血管和内脏器官中,负责组织的弹性和柔韧性。Ⅴ型胶原蛋白在胎盘和毛囊等处较多,参与细胞和组织的发育与再生。
表1 主要类型的胶原蛋白及其分布和功能

重组胶原蛋白的纯化策略
重组胶原蛋白的纯化需根据是否带有亲和标签及产物特性,采用差异化层析策略。
对于带有His标签的胶原蛋白,通常选择镍亲和层析(Ni-AC)进行高效捕获,结合缓冲液通常含20-30mM咪唑,洗脱咪唑浓度范围为150-500mM。
非标签胶原蛋白则需依靠其理化特性进行分离,例如,常见的Ⅰ型、Ⅲ型和Ⅴ型胶原蛋白(pI > 7)与宿主蛋白(pI多呈酸性)存在电荷差异,推荐采用阳离子交换层析(CEX)实现初始纯化,或复合模式层析(MMC)实现同步去除宿主蛋白和降解片段。
由于胶原蛋白分子链较长且重组表达后稳定性较差,普遍存在降解片段与目标蛋白共纯化的问题,而且有些降解片段和目标物相差很小,用阳离子交换很难有效分离。实验表明,疏水层析(HIC)能有效分离目标蛋白和降解片段,并且胶原蛋白通常含有羟脯氨酸/羟赖氨酸,亲水性相较于宿主细胞蛋白(HCP)的亲水性更强,可有效分离HCP。

图1 重组胶原蛋白纯化策略
综上,建议根据样品特性组合层析步骤:对于降解程度低的样品,可采用CEX→HIC的路径;对于复杂样品,推荐MMC捕获后接HIC精纯;His标签型样品则建议采用Ni-AC→CEX/HIC的方案。
最终工艺需依据纯度要求(通常>95%)和内毒素标准(一般<1EU/mg)增加相应精纯步骤,如阴离子交换层析(AEX)去除内毒素,确保产物符合应用要求。另外,可考虑在缓冲液中适量添加蛋白酶抑制剂和抗氧化剂以维持产物稳定性。
为度生物在胶原蛋白领域具备深厚的技术积累与丰富的项目经验,可为各类重组胶原蛋白的生产提供从工艺开发到规模化放大的全流程纯化解决方案。以下为我们部分典型应用案例及推荐层析填料,供您参考:
应用案例 1:三步法纯化胶原蛋白(毕赤酵母表达)
样品:重组Ⅲ型胶原蛋白,带His标签,分子量(55-70KDa)
结果分析:经三步法纯化,纯度99.2%,收率为54%,内毒素在1EU/mL以下。
步骤一 :亲和:Ni Focurose F(IMAC)

步骤二 :离子精纯:SP Focurose FF(结合模式)

步骤三 :去内毒素:Q Focurose FF(流穿模式)

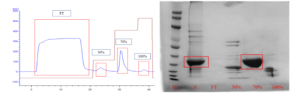
应用案例 2:采用疏水层析精纯胶原蛋白
样品:重组胶原蛋白粗纯后样品
层析介质:Phenyl Focurose HP
Buffer A: 20mM PB, 1.5M 硫酸钠, pH 7.0
Buffer B: 20mM PB, 100mM 硫酸钠, pH 7.0
梯度洗脱:Buffer A 分别与30%、70%、100%Buffer B分步梯度洗脱
结果:经电泳检测可见30%洗脱可将结合的不太牢的杂质先一步去除,70%洗脱中纯化出纯度高的目标条带,100%洗脱可将其余结合较牢固的杂质全部去除。

重组胶原蛋白纯化推荐填料及订购信息
